Upala desni zna krenuti tiho. Malo krvi na četkici. Lagana osjetljivost pri jelu. Pa se čovjek navikne i kaže: “Ma proći će.” Problem je što upala zubnog mesa često ne prolazi sama od sebe, barem ne na način koji rješava uzrok.
U Orto Novi najčešće čujemo jedno pitanje: koliko traje upala zubnog mesa. Odgovor ovisi o tome što je uzrok, koliko je upala uznapredovala i koliko brzo se promijeni rutina čišćenja. U nastavku ćete dobiti jasnu sliku, uključujući i situacije kad se radi o gnojna upala zubnog mesa i kad treba reagirati odmah.
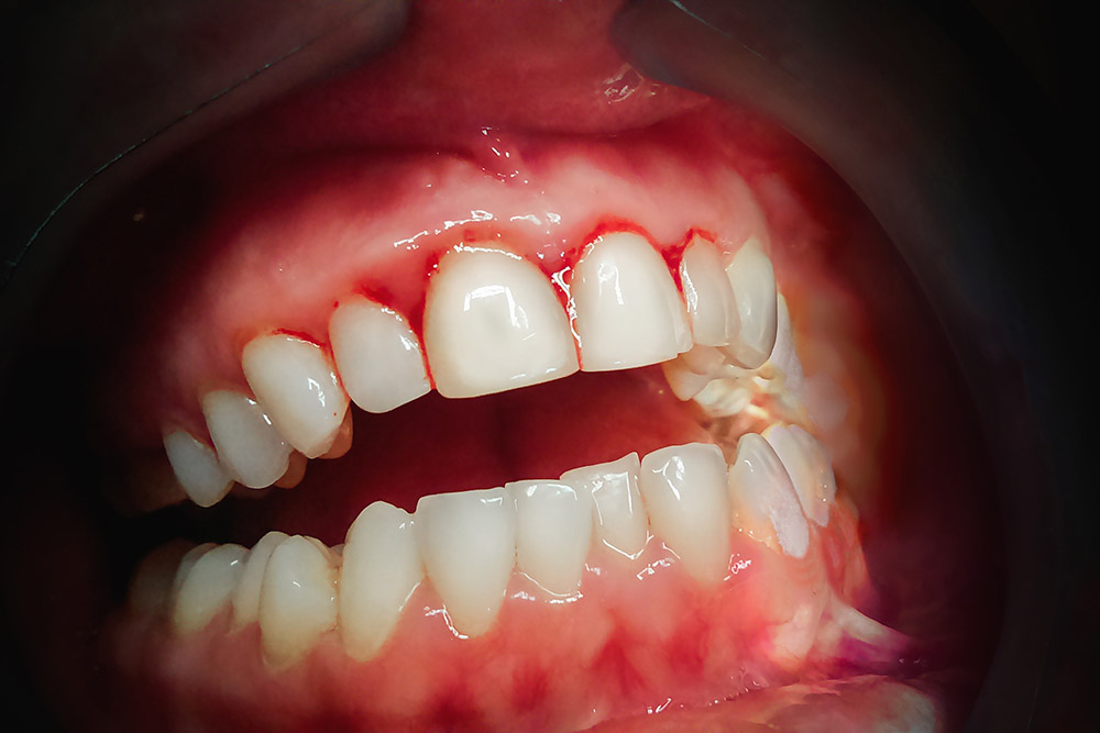
Što je upala zubnog mesa i kako izgleda u svakodnevici

Upala zubnog mesa (gingivitis) je reakcija desni na plak, odnosno bakterijsku naslagu koja se nakuplja uz rub desni. Najčešći znakovi su:
- krvarenje pri četkanju ili čišćenju koncem
- crvenilo i oteklina
- osjetljiv rub desni
- neugodan zadah ili okus
- osjećaj “mekših” i nadraženih desni
Važna razlika: gingivitis je površinska upala i u ranoj fazi često se može smiriti uz pravilnu higijenu i profesionalno čišćenje. Ako se zanemari, kod dijela ljudi može prijeći u parodontitis, gdje se gubi potporno tkivo zuba. Stomatološki fakultet u Zagrebu to objašnjava vrlo jasno kroz razliku između gingivitisa i parodontitisa.
Upala zuba ili upala zubnog mesa, kako znati razliku
Ključ je u simptomima.
Upala zubnog mesa češće daje krvarenje, oticanje i osjetljiv rub desni. Bol obično nije jaka, ali desni “žare” i smetaju.
Upala zuba najčešće se veže uz zubni živac ili infekciju oko korijena. Tada se javljaju:
- jaka, pulsirajuća bol
- bol na toplo ili hladno koja traje
- bol na zagriz
- otok obraza ili zubnog mesa iznad korijena
- ponekad gnojni sadržaj i fistula
Ove dvije situacije se mogu preklapati. Primjer: karijes i infekcija oko korijena mogu napraviti lokalnu oteklinu na desni, pa pacijent misli da je “samo desni”. Zato pregled ima veliku vrijednost.
Koliko traje upala zubnog mesa
Evo praktičnog okvira koji koristimo u razgovoru s pacijentima.
Blaga upala, bez kamenca i bez dubljih džepova
Ako je uzrok uglavnom plak i ako odmah poboljšate higijenu, blaga upala zubnog mesa se često smiri u 7 do 14 dana. Krvarenje se smanjuje postupno.
Upala uz kamenac
Ako se uz rub desni nakupio kamenac, četkica ga ne može ukloniti. Upala se tada može vrtjeti u krug, čak i uz bolje četkanje. Nakon profesionalnog čišćenja i uputa za kućnu rutinu, smirivanje je često brže, ali opet ide kroz dane i tjedne, ne kroz sate.
Dugotrajna upala i sumnja na parodontitis
Ako se krvarenje i oticanje vraćaju mjesecima, ili se pojave povlačenje desni, klimanje zuba ili neugodan okus koji se stalno vraća, to traži parodontološku procjenu. U toj fazi ne pričamo više o “koliko traje upala zubnog mesa”, nego o planu liječenja i održavanja.
Gnojna upala zubnog mesa, što znači i kada je hitno
Gnojna upala zubnog mesa najčešće znači da postoji apsces, odnosno džep s gnojem. To može nastati iz parodontnog džepa ili iz infekcije korijena zuba koja se “izlije” prema desni.
Znakovi koji traže brzu reakciju
- lokalni otok koji raste
- bol na zagriz i osjećaj pritiska
- gnojni okus ili iscjedak
- temperatura ili opća slabost
- otežano otvaranje usta
U takvim slučajevima kućne mjere nisu rješenje. Cilj je procijeniti uzrok, omogućiti drenažu ako je potrebna i sanirati izvor infekcije.
Što možete napraviti kod kuće dok čekate pregle
Kućne mjere pomažu smanjiti iritaciju, ali ne uklanjaju kamenac i ne liječe apsces. Ipak, mogu biti korisne u ranoj fazi ili kao podrška terapiji.
- Četkajte nježno uz rub desni, najmanje dvije minute.
- Čistite između zuba svaki dan. Konac ili interdentalne četkice.
- Ispiranje mlakom slanom vodom može smanjiti nelagodu.
- Izbjegavajte pušenje, barem dok traje upala.
- Smanjite učestalo grickanje slatkog i kiselog.
Ako desni krvare, mnogi prestanu čistiti između zuba. To obično pogorša problem. Krvarenje često znači da baš tamo ostaje plak.
Za širi preventivni okvir, korisne su smjernice na stranici Preventiva i zaštita oralnog zdravlja.
Kako izgleda liječenje u Orto Novi
Cilj liječenja nije “smiriti krvarenje na kratko”, nego maknuti uzrok i stabilizirati desni.
Najčešći koraci su:
- pregled i procjena desni, zuba i navika higijene
- profesionalno čišćenje plaka i kamenca
- upute za kućnu rutinu koja odgovara vašim desnima i zubima
- po potrebi dubinsko čišćenje kod dubljih džepova
- kontrola nakon određenog vremena da se vidi napredak
Za sanacije karijesa, rubova ispuna i drugih izvora iritacije desni, često krećemo kroz Opća stomatologija.
Kad trebamo precizniju procjenu, posebno kod sumnje na upalu oko korijena ili gnojnu komplikaciju, uključujemo Dijagnostika i rendgen po indikaciji.
Ako nalaz pokazuje dublji problem desni i potpornog tkiva, tada je ključna Parodontologija.
Trebaju li antibiotici kod upale desni
Kod običnog gingivitisa antibiotici najčešće nisu potrebni. Osnova je mehaničko uklanjanje plaka i kamenca i dobra kućna rutina.
Antibiotici dolaze u obzir kod znakova širenja infekcije, većeg otoka, temperature ili određenih apscesnih stanja, i tada ih propisuje doktor nakon pregleda. Ministarstvo zdravstva u svojim materijalima o samopomoći i lijekovima spominje pripravke za privremeno smanjenje mikroorganizama u upalnim stanjima usne šupljine i naglašava oprez s lijekovima te savjetovanje s ljekarnikom ili liječnikom.
Najčešće greške koje produže upalu

Ovo su obrasci koje najčešće vidimo kad upala zubnog mesa traje dulje nego što bi trebala:
- četkanje traje prekratko, a preskaču se stražnji zubi
- prejak pritisak četkice, pa desni postaju još osjetljivije
- ne čisti se između zuba
- kamenac se ne uklanja godinama
- pušenje “maskira” krvarenje, pa se problem otkrije kasno
- česti slatki napici kroz dan, bez ispiranja vodom
Kad se ove točke poprave, desni često reagiraju brzo.
Kada se javiti odmah
Nemojte čekati ako imate:
- gnojni iscjedak ili jak neugodan okus koji se vraća
- otok koji raste
- temperaturu uz bol u ustima
- otežano gutanje ili otvaranje usta
- jaku bol koja se širi
To su znakovi koji mogu upućivati na apsces ili širenje infekcije.
Zaključak
Upala zubnog mesa može se smiriti kroz 7 do 14 dana ako je blaga i ako se odmah poboljša higijena. Ako postoji kamenac ili dublji problem, trajanje se produžuje i treba profesionalnu pomoć. Kod gnojna upala zubnog mesa ne čekajte, jer to često znači apsces koji traži brzu procjenu i terapiju.
Ako vas muči krvarenje desni, osjetljivost ili sumnja na upala zuba, najbrži put do mirnih desni je pregled i jasan plan



