Fiksni aparatići za zube
Sustav Damon – ortodoncija vođena izgledom vašeg lica
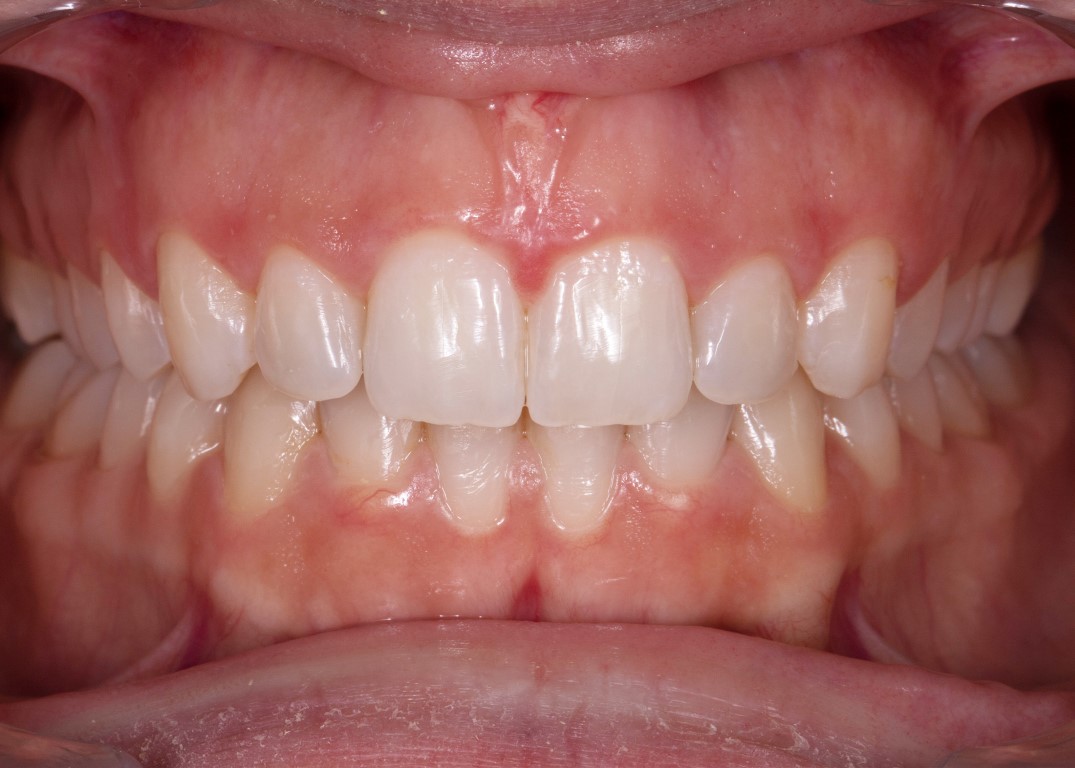
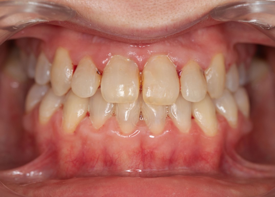
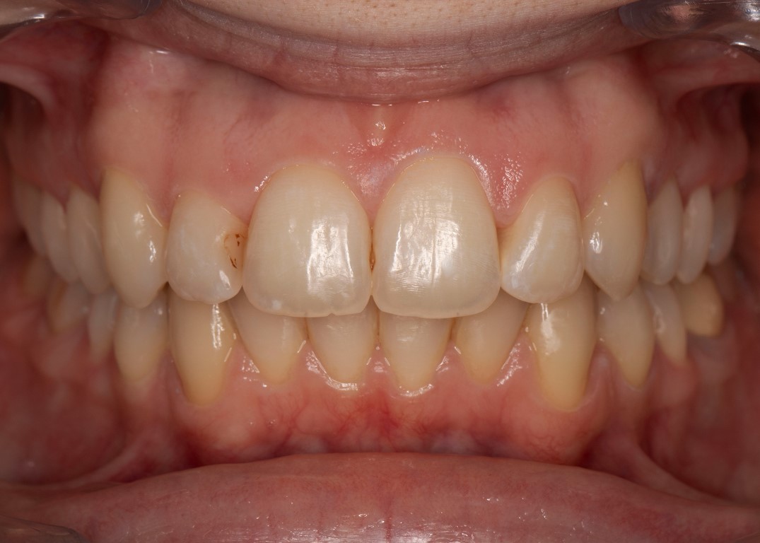
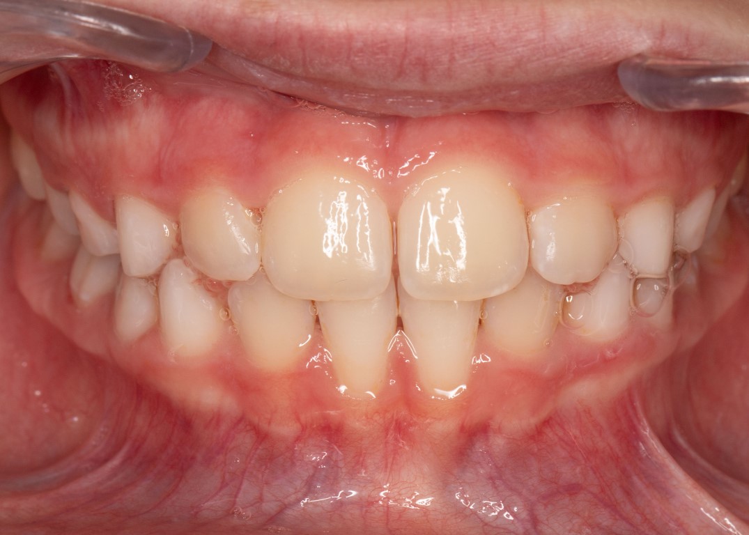
Neskladan položaj zubi negativno utječe na samopouzdanje, ali i na opće zdravlje tijela. Zato je važno pravovremeno reagirati i ispraviti postojeće nepravilnosti u usnoj šupljini, a zahvaljujući napretku ortodoncije, svoj osmijeh možete izravnati u bilo kojoj dobi.
Suvremeni fiksni aparatići za zube, poput sustava bravica Damon, primjenom blagih bioloških sila podarit će vam prirodan, pun i širok osmijeh koji će u vrlo kratkom roku potpuno transformirati izgled vašeg lica uz minimalno invazivne postupke.
Do ravnog osmijeha bez neugode
Sustav Damon sastoji se od samoregulirajućih metalnih bravica niskog trenja koje se lijepe na zube i tanke hi-tech žice koja spaja bravice i nježno, ali djelotvorno, vraća zube u pravilan položaj. Moderni sustavi Damon spajaju učinkovitost i estetiku: fiksni aparatići više ne izgledaju glomazno, ne žuljaju s unutarnje strane usta i daju izvrsne rezultate. Također, ako nikako ne želite narušiti estetiku svojih zubi, možete se odlučiti i za bijele ili prozirne bravice.
U Orto Novi pronaći ćemo pravo rješenje za vas.
Prednosti terapije sustavom Damon u odnosu na konvencionalne ortodontske tehnike
Kako izgleda terapija fiksnim aparatićem za zube u Orto Novi
Prvi pregled i dijagnostika
Nakon početnog razgovora, uzimanja digitalnih otisaka i ostalih potrebnih snimki, analizirat ćemo vaš zagriz, oblik lica i čeljusti kako bismo mogli procijeniti početno stanje zubi i odrediti optimalan plan terapije za vaš osmijeh. Naš ortodont detaljno će vam objasniti kako će se odvijati ortodontska terapija fiksnim aparatićem, kako održavati dobru oralnu higijenu i na što treba pripaziti.
Postavljanje aparatića
Postavljanje fiksnog aparatića bezbolno je i u prosjeku traje oko 45 minuta. Posebnim ljepilom (koje ujedno štiti vaše zube tijekom nošenja aparatića) na zube lijepimo samoregulirajuće bravice koje su povezane žicom. Žica stvara silu koja lagano pomiče zube i vraća ih u željeni položaj. Aparatić se može postaviti na obje čeljusti: prvo se stavlja na gornju, a nakon otprilike dva mjeseca postavlja se i na donju čeljust.
Kontrolni pregledi
Nakon postavljanja aparatića dolazit ćete na kontrolni pregled svakih 8 do 12 tjedana. Tijekom pregleda naš specijalist ortodoncije podešava žicu ovisno o pomaku. Ovisno o složenosti slučaja, terapija u prosjeku traje od dvije do tri godine, a može biti i kraća.
Održavanje osmijeha
Kako bismo spriječili da se zubi nakon skidanja fiksnog aparatića vrate u prvobitan položaj, dobit ćete svoj mobilni retainer koji ćete nositi prema uputama ortodonta, a s unutarnje strane zubi zalijepit ćemo fiksnu retenciju u obliku trakice ili žice.
Ortodontska terapija inspirirana vašim osmijesima




Upitnik za ortodontsku terapiju
Razmišljate o ortodontskoj terapiji za poboljšanje funkcije i estetike vašeg osmijeha? Vaši odgovori na iduća pitanja pomoći će nam predložiti idealno rješenje za vas.
Ispunite upitnik
Zašto smo br. 1 obiteljska klinika po mišljenju naših pacijenata
Google recenzije
4.9











Tko se brine o vašem osmijehu?
U Orto Novi vaš je osmijeh u sigurnim i stručnim rukama dviju generacija specijalista ortodoncije s više od 30 godina iskustva u liječenju osmijeha i nepravilnosti usne šupljine.
