Tvoj budući osmijeh počinje ovdje!
Svakog dana vraćamo osmijehe pacijentima rješavajući ortodontske anomalije — bez obzira koliko složen slučaj bio.
Kako vam može pomoći ortodontska terapija?
Obrnuti prijeklop može uzrokovati različite probleme sa žvakanjem, govorom i estetikom osmijeha.
Nepravilan kontakt između zuba u obrnutom prijeklopu povećava rizik od habanja zuba te može trajno utjecati na osjetljivost zubi.
Križni zagriz odnosi se na nepravilno postavljene zube pri čemu gornji zubi prelaze preko donjih zuba prilikom zagriza.
Pacijenti sa križnim zagrizom mogu osjećati nelagodnost ili bol u čeljusti.
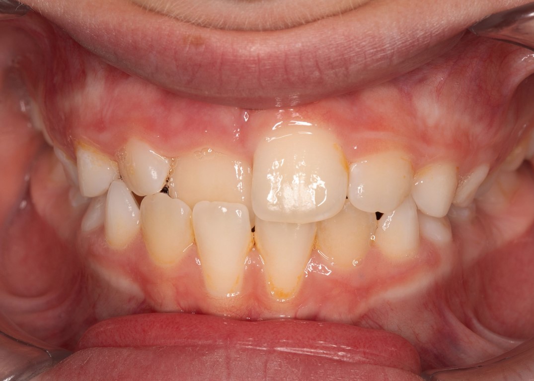
Prisutan je razmak (dijastema) među dva susjedna zuba, a najčešće se povezuje s razmakom gornjih prednjih zubi.
Postoji vidljiv razmak između gornjih i donjih zuba, čak i kada su čeljusti u potpunosti zatvorene.
Otvoreni zagriz može izazvati različite probleme, uključujući poteškoće pri žvakanju hrane, a ponekad i probleme sa govorom.
Zubi nemaju dovoljno prostora kako bi se pravilno rasporedili u odnosu na susjedne zube.
Zbijeni zubi mogu otežati čišćenje međuzubnih prostora, što može povećati rizik od karijesa i oboljenja desnih.
Zašto Invisalign sustav?
Invisalign aligneri mijenjaju način na koji doživljavamo ortodontsku terapiju. U Orto Novi smo ponosni što smo službeni Diamond provider Invisalign sustava, a naša dr. Petra Zaverski jedna je od rijetkih certificiranih edukatora za Invisalign terapiju u regiji.
Od jednostavnijih do najkompleksnijih slučajeva
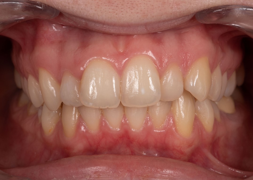
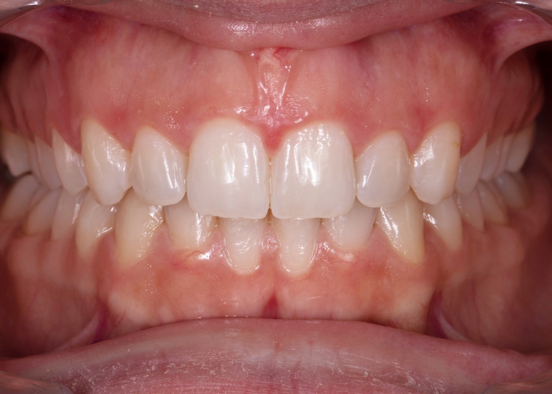
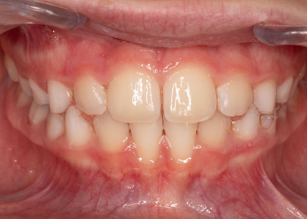
Brojne transformacije naših pacijenata najbolji su dokaz da zaista nikad nije kasno za osmijeh kakav ste oduvijek željeli, posebno s našim mobilnim aparatićima za djecu i odrasle koji će nepravilnosti izravnati neprimjetno i efikasno.




Ponovno među najboljima u Hrvatskoj
Naš ortodontski tim ponosno nosi priznanje Najdoktor, koje su nam dodijelili naši pacijenti. Njihovo povjerenje i zadovoljstvo motiviraju nas da stalno podižemo standarde u dentalnoj medicini i pružamo vrhunske ortodontske rezultate.
Nikad nije kasno za osmijeh koji zaslužujete
Bez obzira na vaše godine, nikada nije kasno za postizanje zdravog i lijepog osmijeha, a uz pomoć Invisaligna jedino ćete vi i vaš ortodont znati da nosite aparatić za zube. Putovanje prema savršenom osmijehu može početi od najranije dobi pa do zrele životne dobi.
Najčešće zablude o Invisalignu
Mnogi pacijenti dolaze s istim pitanjima i brigama. Dr. Petra otkriva što stoji iza najčešćih zabluda o Invisalignu – i što očekivati od stvarne terapije.
Osim Invisaligna, dostupna je i terapija fiksnim aparatićem.
